波音游戏平台 波音-波音全讯网波菜排行_百家乐园选蒙_新全讯网321 (中国)·官方网站

石大科研

我校食品學院李寶坤教授、方志鋒副教授在食品領域TOP期刊發表研究成果

發布時間:2025-02-28瀏覽次數:276文章來源:石河子大學

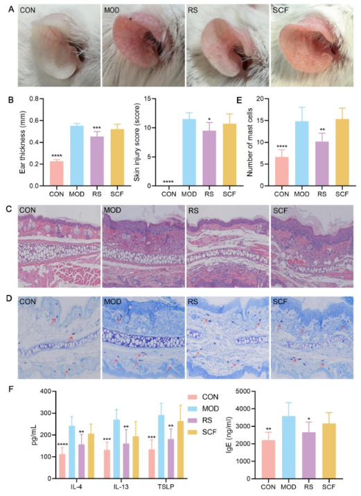
近期我校食品學院李寶坤教授,方志鋒副教授團隊在特色農產品資源鷹嘴豆抗性淀粉研究方面取得新進展,研究結果分別以Gut microbes mediate prebiotic-like effects of resistant starch”(腸道微生物介導抗性淀粉的類益生元效應)和“Chickpea-resistant starch exhibits bioactive function for alleviating atopic dermatitis via regulating butyrate production”(鷹嘴豆抗性淀粉通過調節丁酸鹽的產生展現緩解特應性皮炎的生理作用)在農林科技領域期刊《Food Bioscience》(中國科學院一區TopIF=4.8)和International Journal of Biological Macromolecules(中國科學院一區TopIF=7.7)上發表。

團隊以特色農產品資源鷹嘴豆為研究對象,開展功能因子挖掘和農產品資源高值化綜合利用等系列的科研工作及成果轉化。團隊總結了具有益生元特性的膳食纖維?抗性淀粉(resistant starch)及其通過調節腸道菌群對人體健康的影響,并探究了基于個人腸道微生物的差異,為個性化的飲食、營養和生活方式提供干預策略。

同時,基于鷹嘴豆抗性淀粉的營養特性及生理功能,團隊開展了鷹嘴豆抗性淀粉針對皮膚抗過敏的研究,結果發現鷹嘴豆抗性淀粉通過調節腸道菌群產生丁酸鹽影響Th1/Th2之間的免疫平衡,進而顯著改善卡泊三醇誘導的特應性皮炎小鼠的臨床癥狀。

食品學院畜產品加工與控制中心2022級碩士研究生閆青青為論文第一作者,方志鋒副教授為通訊作者,李寶坤教授為共同通訊;食品學院樊哲新副教授、江南大學食品學院陸文偉教授、江南大學附屬醫院無錫婦幼保健院余仁強副主任醫師參與指導該研究。研究得到了江蘇省自然科學青年基金、國家自然科學基金、石河子大學高層次人才科研啟動計劃以及新疆維吾爾自治區 “天池英才”人才計劃的支持和資助。

(通訊員:方志鋒 李寶坤 樊哲新 閆青青 郜建銳 于佳媛


最新更新

百家乐最佳投注法下载| 新濠百家乐现金网| 威尼斯人娱乐网送38元彩金| 棋牌评测网xjqppc| 苏尼特左旗| KTV百家乐官网的玩法技巧和规则| 百家乐官网无损打法| 百家乐赌假的工具| 北京太阳城医院| 大发娱乐场| 机械百家乐官网技巧| 百家乐官网大光明影院| 百家乐娱乐平台备用网址| 百家乐看图赢| 澳门金沙| 大众百家乐官网的玩法技巧和规则| 电脑打百家乐怎么赢| 网络博彩| 五星百家乐官网的玩法技巧和规则 | 赌百家乐怎样能赢| 赢波娱乐| 金城百家乐买卖路| 百家乐官网太阳城| 百家乐赌博策略| 丽水市| 百家乐二人视频麻将| 2013现金棋牌游戏| 谁会玩百家乐官网的玩法技巧和规则| 做生意摆什么好招财| 百家乐是娱乐场最不公平的游戏| 真钱的棋牌游戏网站| 鑫鼎百家乐官网娱乐城| 百家乐五湖四海娱乐场开户注册| 百家乐官网3号眨眼技术| 大发888真人存款| 百家乐官网真人百家乐官网皇冠| 百家乐开庄概率| 赌场风云下载| 百家乐最新的投注方法| 百家乐官网筹码多少钱| 电子百家乐打法|